
17-10-2025 18:45

Hello, Found by Laurens van der Linde, Oct. 2025.

23-09-2025 13:31
Thomas Læssøehttps://svampe.databasen.org/observations/10534623

15-10-2025 16:39

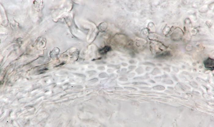
These tiny (0.2-0.6 mm), white, pulvinate apotheci

03-10-2025 13:44

Hello, Found by Laurens van der Linde on Populus

13-10-2025 19:05
Louis DENYBonjour forumSur tronc décortiqué de feuillu x,

11-10-2025 20:27

Found on a barked branch, 14 mm in diameter, of Ro

09-10-2025 22:14
S. RebeccaWe just had the Bavarian Mycology Conference in Au

10-10-2025 00:49
Ethan CrensonHello all, This was found last weekend on a hardw
Protocreopsis on bamboo (Phyllostachys)
Björn Wergen,
12-06-2016 23:19

today I was in Freibourg (Black Forest) for collecting some culms of Phyllostachys. At home, there appeared a pale coloured nectria-like species on one of the culms, of which I am sure it belongs to Protocreopsis. After looking for similar species, I have found an article about Protocreopsis caricicola growing on Carex from Mecklenburg, so this could be the second recolt in germany (?).
Sp 13-14x3-3,4µm, with one central septation, smooth. Asci 50-60x5,5-7µm, 8sp, no apical apparatus seen in CB. Whole fruitbodies are covered with hyaline, thick-walled hairs and are embedded into a whitish cotton-like subiculum. Older fruitbodies get a yellow colour. Wall KOH-, CB-, 20-30µm thick constisting of 7-10 rows of parenchymatous cells and an up to 35µm thick layer of covering hyphae/hairs.
12-06-16, Freibourg, on old shoots of Phyllostachys sp.
regards,
björn
Enrique Rubio,
30-05-2018 19:53
Re : Protocreopsis on bamboo (Phyllostachys)
Dear all
Today, I have found this fungus too on Phyllostachis.
Did you finally get his name?
Enrique
Today, I have found this fungus too on Phyllostachis.
Did you finally get his name?
Enrique
Björn Wergen,
04-06-2018 02:20

Re : Protocreopsis on bamboo (Phyllostachys)
Dear Enrique,
unfortunately not, and unfortunately my collection failed using it for sequencing. Maybe you can clear it up?
Regards,
Björn
unfortunately not, and unfortunately my collection failed using it for sequencing. Maybe you can clear it up?
Regards,
Björn
Christian Lechat,
04-06-2018 06:25

Re : Protocreopsis on bamboo (Phyllostachys)
Hi Björn and Enrique,
at first glance, it would seems that your fungus does not reallly have the morphological characters of Protocreopsis such as defined by Rossman et al. 1999 and discussed in Lechat et al. Ascomycete.org, 8 (1) : 30-32. 2016, it would look more like Lasionectria but I know that it is difficult to morphologically separate these genera.
Enrique, if your collection is in good conditions, it would be necessary to culture and sequence it, so it would be great if you could send it to me.
Best wishes,
Christian
at first glance, it would seems that your fungus does not reallly have the morphological characters of Protocreopsis such as defined by Rossman et al. 1999 and discussed in Lechat et al. Ascomycete.org, 8 (1) : 30-32. 2016, it would look more like Lasionectria but I know that it is difficult to morphologically separate these genera.
Enrique, if your collection is in good conditions, it would be necessary to culture and sequence it, so it would be great if you could send it to me.
Best wishes,
Christian
Enrique Rubio,
04-06-2018 18:55
Re : Protocreopsis on bamboo (Phyllostachys)
Hi Björn and Christian
I think the material is in good condition. I'm going to dry it up and when it is ready, I'll send it to you.
Please, Christian, take the data of my collection:
Gijón, Jardín Botánico Atlántico (Asturias), 30-V-2018, on stems of Phyllostachis vivax, leg. E. Rubio, ERD-7560.
Regards
Enrique
I think the material is in good condition. I'm going to dry it up and when it is ready, I'll send it to you.
Please, Christian, take the data of my collection:
Gijón, Jardín Botánico Atlántico (Asturias), 30-V-2018, on stems of Phyllostachis vivax, leg. E. Rubio, ERD-7560.
Regards
Enrique
Christian Lechat,
05-06-2018 03:42

Re : Protocreopsis on bamboo (Phyllostachys)
Super! merci Enrique,
Christian
Christian
Christian Lechat,
24-06-2018 06:01

Re : Protocreopsis on bamboo (Phyllostachys)
Dear friends,
I received the matérial collected by Enrique, I examined it and it is definitly Protocreopsis caricicola. It is the first collection from Spain.
All the best,
Chhristian
I received the matérial collected by Enrique, I examined it and it is definitly Protocreopsis caricicola. It is the first collection from Spain.
All the best,
Chhristian
Enrique Rubio,
25-06-2018 16:54
Re : Protocreopsis on bamboo (Phyllostachys)
Many thanks, Christian
Enrique
Enrique