14-02-2026 22:45
Hy!I would ask for some help determing this specie
13-02-2026 03:30
Hello! I found these immersed perithecia on a stic
14-02-2026 10:58
Bernard CLESSE
Bonjour à toutes et tous,Pourriez-vous m'aider à
13-02-2026 18:05
Margot en Geert VullingsOn February 9, 2026, we found these small hairy di
02-02-2026 21:46
Margot en Geert VullingsOn a barkless poplar branch, we found hairy discs
09-02-2026 14:46
Anna KlosGoedemiddag, Op donderdag 5 februari vonden we ti
14-02-2026 19:09
Valencia Lopez Francisco JavierHola colegasEstoi interesado en este articulo, Agn
12-02-2026 21:34
patrice CallardBonjour, la face inférieure des feuilles ce certa
Vexillomyces/Claussenomyces
Tomaz Vucko,
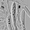
14-02-2026 22:45
I would ask for some help determing this species since I'm a bit indecisive. I found them on a Quercus stick in floodplain area. Apothecia are over 1mm, some reaching also 1,5mm. In 20%KOH I noticed mostly yellowish, later green pigments. (there are cf Ceratostomella perithecia also somewhere among them on the picture)
11.2.2026, Slovenia.
Ascoconidia measurements:
(2.4) 2.5 - 3.2 (3.4) X (0.8) 0.85 - 1 (1.1) um
Q = (2.3) 2.5 - 3.5 (3.9) ; N = 40
Me = 2.8 X 0.9 um ; Qe= 3
Hans-Otto Baral,
15-02-2026 08:57
Re : Vexillomyces/Claussenomyces
Did you measure the ascospores too? Did you see any trans-septa? I guess there are only cross-septa. Based on the +/- allantoid ascoconidia I suggest hydnicola or the unpublished munathina, which are quite similar. See my folder xylophilus-group.
Tomaz Vucko,
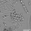
16-02-2026 04:39
Re : Vexillomyces/Claussenomyces
Ascospore measurements are cca.:
(21) 21.4 - 25.7 (26.6) × (2.5) 2.7 - 3.3 (3.4) µm
Q = (6.6) 6.9 - 8.9 (9.8) ; N = 21
Me = 23.3 × 3 µm ; Qe = 7.9
I made few more slides but I wasn't very successful with finding some huge ammounts of them. If it's needed I can try again. I could't really see some proper trans-septa as well, only when there is a bubble inside and it may look like it's a septation but is really not. Soo only cross-septa present as much as I could see. With larger spores I could mostly count around 15 septations.
For key I used the one I found here on this site "Provisionary key to Claussenomyces s. auct. (G. Marson + H.O. Baral 17. März, 1994, improved 14.09.1996 and 2002)"
Unfortunately I don't know how to find that other folder.
(21) 21.4 - 25.7 (26.6) × (2.5) 2.7 - 3.3 (3.4) µm
Q = (6.6) 6.9 - 8.9 (9.8) ; N = 21
Me = 23.3 × 3 µm ; Qe = 7.9
I made few more slides but I wasn't very successful with finding some huge ammounts of them. If it's needed I can try again. I could't really see some proper trans-septa as well, only when there is a bubble inside and it may look like it's a septation but is really not. Soo only cross-septa present as much as I could see. With larger spores I could mostly count around 15 septations.
For key I used the one I found here on this site "Provisionary key to Claussenomyces s. auct. (G. Marson + H.O. Baral 17. März, 1994, improved 14.09.1996 and 2002)"
Unfortunately I don't know how to find that other folder.
Best regards
Hans-Otto Baral,
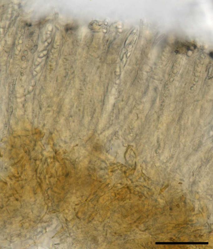
16-02-2026 09:05
Re : Vexillomyces/Claussenomyces
Indeed, our key leads to munathinus, hydnicola being (4-)8-12-septate.
The folder is in 7e Phacidiales, Tympanidaceae, Vexillomyces, xylophilus-group.




































