27-04-2026 09:59
Pauline. PennaBonjour Can anyone advise me on these pycnidia fo
22-04-2026 20:54
Hi to everybody.This Pyrenopeziza grew in moist le
24-04-2026 03:16
David Chapados
Found while looking at something else from wood in
22-04-2026 01:06
Bonjour à tous.Je vous présente cette Nectria s.
22-04-2026 20:17
Marian Jagers
Is anyone familiar with the Hyphomycetes genus Pse
Microdiplodia henningsii
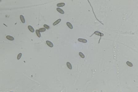
Pauline. Penna,
27-04-2026 09:59
Bonjour
Can anyone advise me on these pycnidia found on Atriplex prostrata. I think it is Microdiplodia henningsii but can find little information on this.
Black hemispheres <.5 mm on stem base, rupturing and releasing spore mass. Spores 12 - 13.5 x 5 microns, brown, one septate , some with small guttules.
Kind regards
Pauline Penna

