20-05-2026 12:57
Hello everybody, on decayed hardwood e.g. Quercus
20-05-2026 20:08
Andreas Millinger
Good evening,another quite distinctive find from M
20-05-2026 21:49
Margot en Geert VullingsWe found this Lachnum on Juncus stems mown last ye
20-05-2026 17:47
Margot en Geert VullingsWe found this Mollisia on dead Juncus stems mown l
22-04-2026 20:54
Hi to everybody.This Pyrenopeziza grew in moist le
19-05-2026 12:55
Hardware Tony
After checking Gminder and Otto's library I cannot
19-05-2026 10:27
Patrice TANCHAUDBonjour, récolte récente sur terre retournée i
Dasyscyphella nivea?
Ethan Crenson,
30-10-2025 03:53
Hi all,
I would like an opinion on whether this can be definitively called Dasyscyphella nivea.
Marginal hairs are septate and have granular roughening on the lower parts, but are smooth at the ends. The ends slightly inflated, up to 3.3µm wide.
Asci: IKI+, with (I believe) croziers, 47-55 x 3.9-5.1µm
Spores hyaline, fusiform, 5.6-8.8 x 1.7-2.5µm
Paraphyses somewhat lanceolate up to 2.8µm wide.
From a hardwood branch on the ground, probably Oak.
Apoogies for the poor photos.
Ethan
Michel Hairaud,
30-10-2025 10:10
Re : Dasyscyphella nivea?
Hi Ethan,
The genus Dasyscyphella is for sure correct.
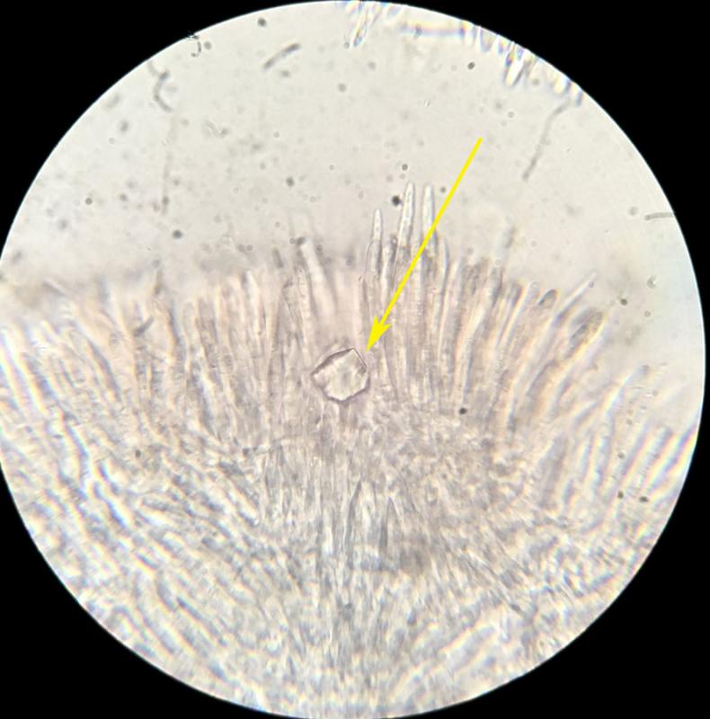
Did you notice any crystal in the hairs ? D. nivea , which is fairly common in Europe on the underface of hard logs, genrally shows such crystals.
Amitiés. Michel
The genus Dasyscyphella is for sure correct.
Did you notice any crystal in the hairs ? D. nivea , which is fairly common in Europe on the underface of hard logs, genrally shows such crystals.
Amitiés. Michel
Ethan Crenson,
30-10-2025 23:33










