15-12-2025 15:48
Danny Newman
Melanospora cf. lagenaria on old, rotting, fallen
15-12-2025 15:54
Johan Boonefaes
Unknown anamorph found on the ground in coastal sa
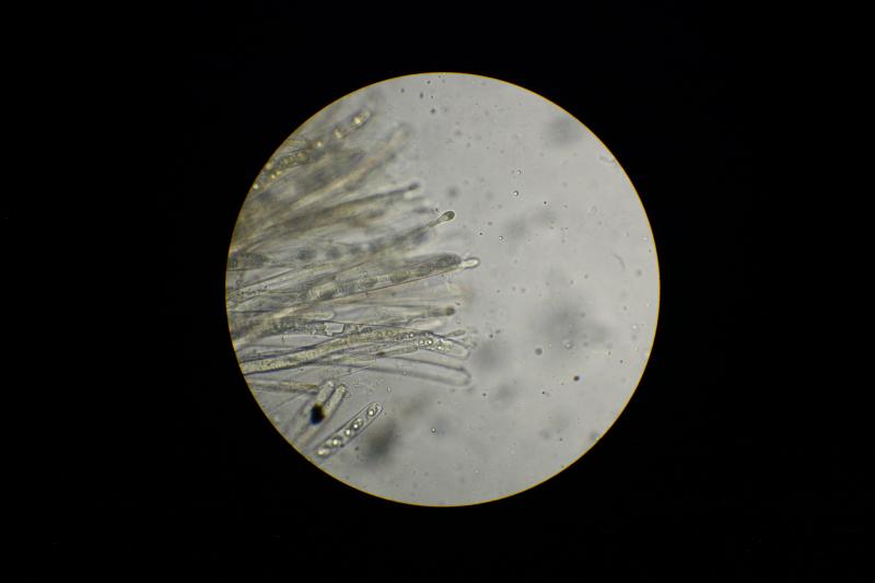
15-12-2025 21:11
Hardware Tony
Small clavate hairs, negative croziers and IKI bb
15-12-2025 07:09
Danny Newman
indet. Rutstroemiaceae sp. on unk. fallen leavesMc
15-12-2025 07:05
Danny Newman
Pseudosclerococcum golindoi (det: Zotto)near Cosb
15-12-2025 11:49
Danny Newman
ITS sequences from the following two collections B
15-12-2025 12:34
Danny Newman
indet. Rhytismataceae on oak leafnear Purchase Roa
09-12-2025 12:06
Andgelo Mombert
Bonjour,Je recherche l'article concernant Hypobryo
New here: Could this be Paragalactinia succosella?
Oliver Czernia,
14-11-2022 22:49
My name is Oliver and I am a recent fungi enthusiast from Germany. I am studying fungi as a hobby for about a year now. I started to do fungal microscopy pretty much at the beginnig.
Yesterday, I found this beautiful fungi on gravel at a graveyard in northrhine-westfalia. I saw directly that it would be a Peziza sensu lato. Nonetheless, I was very suprised by the yellowish to greenish, vibrantly coloured milk. I didn't know that there were Pezizaeae which milk.
After keying this specimen I had to decide between P. michelii, P. succosa and P. succosella. With nearly every spore having only one guttule it should be the latter one. If that were true, this would be the first documentation of this species for northrhine-westfelia. If it weren't, it would be interesting too.
Because I am no expert on Pezizaeae or rather on any ascomycet and I don't know anyone, who could help me with this specimen, I thought maybe some of you could help me.
Spores messured: 17-18 x 9-10µm, microscoped in water and Melzer's reagent (I know that Lugol's is the preffered reagent, but I simply mixed them up)
Kind Regards
Oliver
Oliver Czernia,
15-11-2022 23:10
Ursula Kozik,
16-11-2022 09:56
Re : New here: Could this be Paragalactinia succosella?
Hello and good day Oliver,
a reliable determination of your find is not possible with these microphotos.
Is there a receipt (Beleg)?
A good time
Ursula
Oliver Czernia,
16-11-2022 10:02
Re : New here: Could this be Paragalactinia succosella?
Hello Ursula,
okay, good to know. What else would you need? I'll try to make some better pictures of the spores.
I do have a frutingbody which I could dry and hence had a Beleg.
Kind Regards
Kind Regards
Oliver
Ursula Kozik,
16-11-2022 10:20
Re : New here: Could this be Paragalactinia succosella?
Hello and good day Oliver,
I sent you an email
A good time
Ursula
Oliver Czernia,
16-11-2022 19:52
Mirek Gryc,
18-11-2022 13:08
Re : New here: Could this be Paragalactinia succosella?
Hi Oliver
In my opinion, the morphological features and the image of spores fits P. succosella.
However, the identification of Peziza species is based on more data. You should definitely check the character of Excipulum and the basics of ascus (Croziers +/-)
Regards
Mirek
In my opinion, the morphological features and the image of spores fits P. succosella.
However, the identification of Peziza species is based on more data. You should definitely check the character of Excipulum and the basics of ascus (Croziers +/-)
Regards
Mirek
Oliver Czernia,
20-11-2022 16:21
Re : New here: Could this be Paragalactinia succosella?
Hello together,
Ursula Kozik (Gelbfieber) very kindly offered me, to look at this fungus personally and she could confirm my diagnosis. She also very kindly allowed me, to show you her pictures made under the microscope. They are really good!
Kind Regards
Ursula Kozik (Gelbfieber) very kindly offered me, to look at this fungus personally and she could confirm my diagnosis. She also very kindly allowed me, to show you her pictures made under the microscope. They are really good!
Kind Regards
Oliver














ps-025a-0001.jpg