13-01-2026 09:10
Danny Newman
Dasyscyphella chrysotexta on indet. decorticate ha
13-01-2026 08:49
Danny Newman
Coccomyces sp. on fallen Rhododendron leavesPretty
13-01-2026 08:43
Danny Newman
Tricladium varicosporioides on indet. decorticate
12-01-2026 22:02
Ethan CrensonHello all, I am hoping someone will have some ins
13-01-2026 07:57
Danny Newman
cf. Bombardia on indet. decorticate woodAppalachia
13-01-2026 07:51
Danny Newman
Atrocalyx sp. on indet. herbaceous stemAppalachian
13-01-2026 07:28
Danny Newman
Chlorociboria glauca on indet. decorticate logThe
13-01-2026 07:14
Danny Newman
Neodasyscypha cerina on indet decorticate logThe S
11-01-2026 20:35
Hello.A very tiny pyrenomycete sprouting sparsely
12-01-2026 05:24
Danny Newman
Cyathicula coronata on Urtica dioicaCataloochee Di
Good morningOn 3/6/2019 we find at Tenerife (Canary Islands), on a very very rooten wood, a lot of very small white crowdly apos. At the beginning we thought in Strossmayeria basitricha, but micro said no.
White apos, pulvinate, crodly, irregular margin, (173,3) 174,6 - 266,3 (309) × (133,9) 137,9 - 171,7 (175,2) µm; N = 18; Me = 226,8 × 154,3 µm.
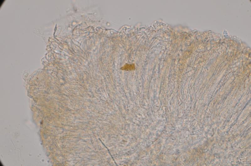
Ectal excipulum with textura subglobulosa-angularis, more prismatica near the margin. Medular excipulum very thin.
Asci 8-spores, biseriate, cylindric, slightly bent and acuminated at the apex, with croziers, euamiloid, Calycina type ??, (65) 71 - 86,2 (88) × (8,2) 8,8 - 10,6 (11,6) µm; N = 26; Me = 80,2 × 9,8 µm
Paraphysis very branched, bend an plenty of VBs.
Ellipsoidal spores, but sometimes with a side flat or concave, plenty of LBs (10-12 guttules), (9) 10,3 - 13,1 (13,7) × (3,8) 4 - 4,9 (5,1) µm; Q = (1,9) 2,3 - 2,9 (3,2) ; N = 40; Me = 11,5 × 4,5 µm ; Qe = 2,6.
Marginal cells very similar to paraphysis, wider than paraphysis, plenty of VBs too.
Enrique suggested me some Calycina, but I do not find any similar.
Thanks a lot.
could you please show closeup photos of the paraphyses and/or marginal cells? I can see the VBs only indistinctly. They look globose, and a multiguttulate content is very unusual for Calycina. Also the apical ring is not typical. No idea at present.
Was this in the laural forest? Is it an angiosperm wood or Pinus canariensis?
Zotto
Pics ar good, and the paraphyses tend to be curved, much unlike Calycina.
None idea about another genus?
Thousand thanks
I also don't know if I have something in my files, I lost the overview... :-(



















