14-04-2026 21:52
Gernot FriebesHi,found on dead leaves of Carex elata. Conidia: 4
14-04-2026 20:31
Gernot FriebesHi,can this be Psilachnum lateritioalbum on Phragm
14-04-2026 05:32
Ethan CrensonHi all, A few weeks back a friend pointed out som
12-04-2026 17:56
Hardware Tony
Found on dead stems in February earlier this year
12-04-2026 15:52
Gernot FriebesHi,I'm looking for help with this anamorph collect
12-04-2026 12:22
William Slosse
In a dune grassland in Oostduinkerke (Belgium), on
11-04-2026 15:45
Zuzana Sochorová (Egertová)
Please, could anyone send me this paper?Moyne G.,
11-04-2026 13:34
Artem PtukhaHello, I am seeking assistance with the identific
11-04-2026 10:19
Michel Hairaud
Chers amis d'Ascofrance , voici une très bonne no
Helminthosphaeria
Elisabeth Stöckli,
24-03-2026 21:37
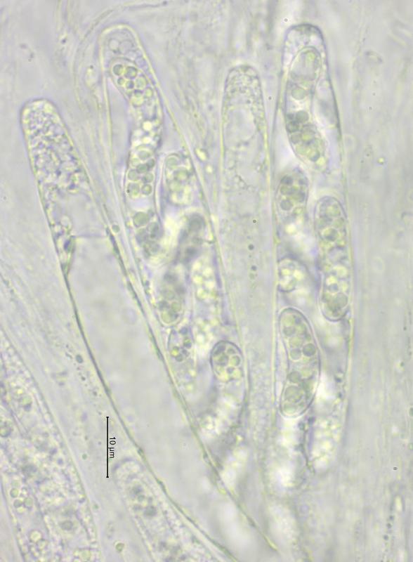
Sur bois (tronc) très pourri de conifères, dans forêt mélanges de plaine. Périthécies sphériques, immergées, avec un bec court, isolées ou en petites groupes, 0.25 – 0.5 mm de diamètre, asques octosporés, spores bisériées, IKI-, 112 -143 x 14 – 15.5 µm, spores allantoïdes, d'abord hyalin et unicellulaire, brun à maturité, avec un à trois cloisons, 18 – 22 x 4.5 – 5.5 µm.
Est-ce que quelqu'un connait ? Merci d'avance pour votre aide.
Elisabeth
Andrew N. Miller,
24-03-2026 21:47
Re : Helminthosphaeria
Maybe close to Helminthosphaeria ludens.
Andy
Andy
Elisabeth Stöckli,
26-03-2026 21:14
Re : Helminthosphaeria
Merci Andy!
Seul un test ADN permettra sans doute d'y voir plus clair.
Elisabeth
Seul un test ADN permettra sans doute d'y voir plus clair.
Elisabeth
Andrew N. Miller,
26-03-2026 21:26
Re : Helminthosphaeria
Yes, it would be good to sequence this for B-tubulin and TEF.






