12-04-2026 17:56
Hardware Tony
Found on dead stems in February earlier this year
17-04-2026 19:16
Hi to everybodyI would appreciate any assistance r
14-04-2026 05:32
Ethan CrensonHi all, A few weeks back a friend pointed out som
17-04-2026 15:14
Bruno Coué
Bonjour.Récoltes du 16/04/2026, sur feuilles mort
12-04-2026 15:52
Gernot FriebesHi,I'm looking for help with this anamorph collect
14-04-2026 21:52
Gernot FriebesHi,found on dead leaves of Carex elata. Conidia: 4
16-04-2026 22:09
Buckwheat PeteHello, I'd like to ask about this older specimen:
15-04-2026 19:33
Fátima Durán ManzanequeHi!! I need help, I found this Ascomycete but I d
14-04-2026 20:31
Gernot FriebesHi,can this be Psilachnum lateritioalbum on Phragm
12-04-2026 12:22
William Slosse
In a dune grassland in Oostduinkerke (Belgium), on
Skyttea-like with muriform spores
Ethan Crenson,
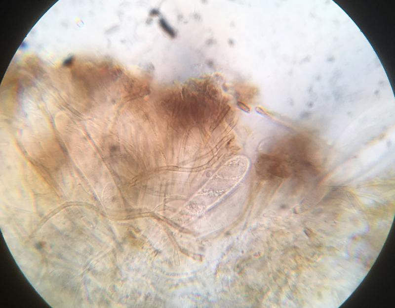
18-03-2019 21:48
On the same branch as my previous post I came across these very similar fruiting bodies. .5 mm in diameter, jelly-like and withering quite a bit on drying. Microscopically they are very different. Asci contain developing spores that become 3 and 4-septate with some longitudinal septations. Asci are IKI- and measure 75 - 112 x 10 - 15µm. Spores are (13-) 16.5 - 21 x 6 - 8µm. When I applied KOH to a mount I detected a slight yellow-brown pigment as the KOH arrived at the apothecia. The brown matter between the branched, septate paraphyses dissipated. I believe this collection is the similar to one I made in October of 2017. At that time Zotto suggestedt that it was related to Skyttea.
Comments appreciated!
Ethan











