14-04-2026 21:52
Gernot FriebesHi,found on dead leaves of Carex elata. Conidia: 4
14-04-2026 20:31
Gernot FriebesHi,can this be Psilachnum lateritioalbum on Phragm
14-04-2026 05:32
Ethan CrensonHi all, A few weeks back a friend pointed out som
12-04-2026 17:56
Hardware Tony
Found on dead stems in February earlier this year
12-04-2026 15:52
Gernot FriebesHi,I'm looking for help with this anamorph collect
12-04-2026 12:22
William Slosse
In a dune grassland in Oostduinkerke (Belgium), on
11-04-2026 15:45
Zuzana Sochorová (Egertová)
Please, could anyone send me this paper?Moyne G.,
11-04-2026 13:34
Artem PtukhaHello, I am seeking assistance with the identific
11-04-2026 10:19
Michel Hairaud
Chers amis d'Ascofrance , voici une très bonne no
Helvella
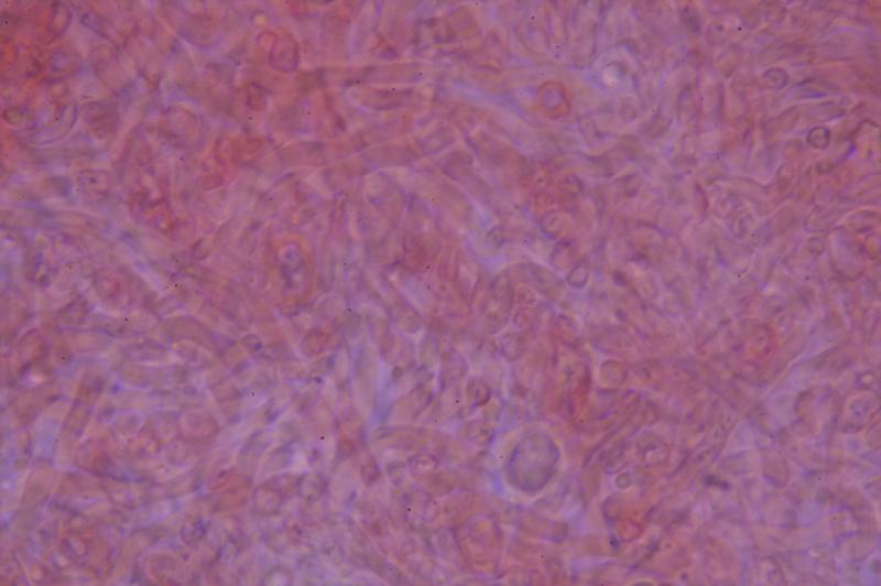
Salvador Tello,
21-08-2016 21:40
Ya hace un tiempo que tengo identificada esta Helvella como H. latispora y me guataría que me lo confirmasen o me digan si estoy equivocado. Los hongos crecían en una zona con Avellanos (Corylus avellana), tienen una altura de aproximadamente 4 cm, con el pié sin costillas y la superficie exterior ligeramente furfurácea y esporas elipsoidales de (19,3) 20 - 21,9 (22,8) × (13) 13,2 - 15 (15,2) µm, Q = (1,4) 1,43 - 1,5 (1,6) ; N = 22, Me = 20,9 × 14,1 µm ; Qe = 1,5.
Gracias.
Salvador.
Nicolas VAN VOOREN,
22-08-2016 18:28
Re : Helvella
Une coupe de l'excipulum, notamment la zone ectale, est nécessaire pour aider à déterminer cette helvelle.
Salvador Tello,
22-08-2016 20:10
Nicolas VAN VOOREN,
22-08-2016 20:50
Re : Helvella
Il n'y a pas de bouquets de cellules émergentes, je pense donc qu'il s'agit d'une forme de H. elastica, à chapeau selliforme. Cela arrive parfois.







