22-04-2026 20:17
Marian Jagers
Is anyone familiar with the Hyphomycetes genus Pse
22-04-2026 20:54
Hi to everybody.This Pyrenopeziza grew in moist le
22-04-2026 01:06
Bonjour à tous.Je vous présente cette Nectria s.
21-04-2026 13:36
Gernot FriebesHi,I am out of ideas for this one. I collected Sal
21-04-2026 13:19
Gernot FriebesHi,this Lophodermium on Typha has ascospores measu
21-04-2026 13:05
Gernot FriebesHi,this hyphomycete feels familiar but I was not a
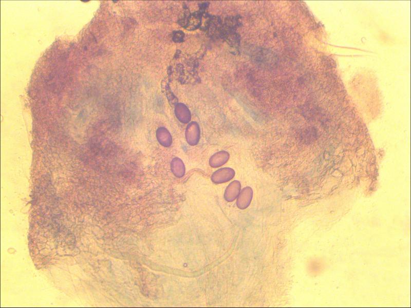
Ascobolus Immersus
Joop van der Lee,
12-02-2013 19:27

Fruitbody does not look like that of an ascobolus but measurement of the spores look like those of Ascobolus Immersus (47.44-52.64x28.16-30.60 um). Ripe spores appear in a fluid bubble which is on top of a fruitbody. Photo's of fruitbody are not very clear because of the amount of light.
Björn Wergen,
12-02-2013 21:03
Re : Ascobolus Immersus
Hi,
I think your fruitbodies have already shot away their ascospores. Imagine that as a small explosion, and the empty ascus is macroscopically visible as an amorphous, hyaline structure as it is shown on your first photo.
A. immersus fruitbodies sometimes have long stalks and are very variable in size and form.
regards,
björn
I think your fruitbodies have already shot away their ascospores. Imagine that as a small explosion, and the empty ascus is macroscopically visible as an amorphous, hyaline structure as it is shown on your first photo.
A. immersus fruitbodies sometimes have long stalks and are very variable in size and form.
regards,
björn



