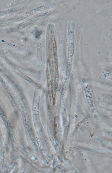
Rosenscheldia abundans
Gernot Friebes
, 27-03-2026 21:52
| Genre | Rosenscheldia |
|---|---|
| Espèce | abundans |
| Autorités | (Dobrozr.) Petr. |
| Classe | Dothideomycetes |
| Sous-Classe | Dothideomycetidae |
| Ordre | Dothideales |
| Famille | Incertae sedis |
| Substrat | Lycopus europaeus |
| Herbier | personal fungarium |
| Localité | Steiermark, Voitsberg, Packer Stausee |
| Pays | Autriche |
| Leg. | Gernot Friebes |
| Det. | Gernot Friebes |
| Date de récolte | 14-03-2026 |
| Remarque |






