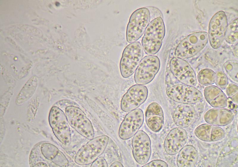
Pronectria loweniae
Andgelo Mombert
, 16-12-2023 12:21
| Genre | Pronectria |
|---|---|
| Espèce | loweniae |
| Autorités | Flakus, Etayo, Rodr. Flakus & Zhurb. |
| Classe | Sordariomycetes |
| Sous-Classe | Hypocreomycetidae |
| Ordre | Hypocreales |
| Famille | Bionectriaceae |
| Substrat | Solorina bispora |
| Herbier | AM2108315 |
| Localité | Val Cenis |
| Pays | France |
| Leg. | Andgelo Mombert |
| Det. | Alain Gardiennet/Andgelo Mombert |
| Date de récolte | 31-08-2021 |
| Remarque |


