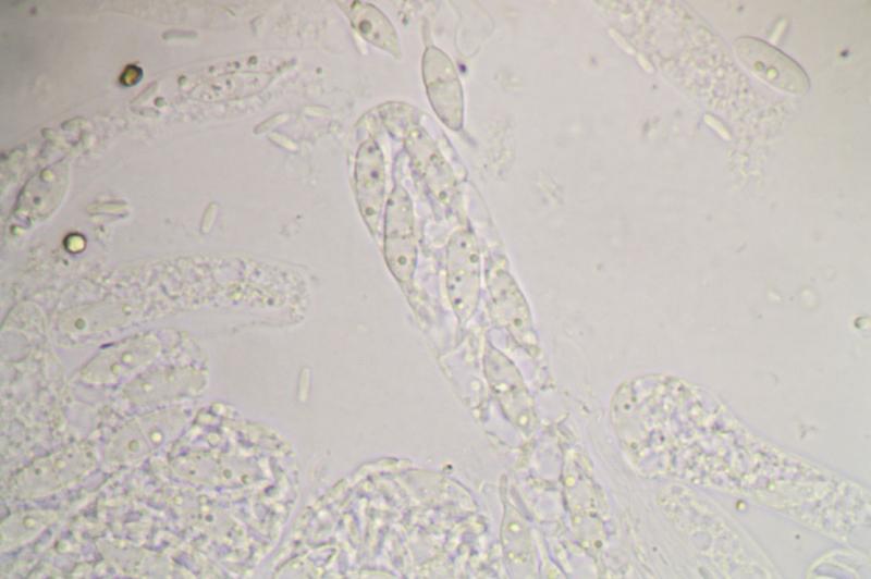
Thyronectria aquifolii
Andgelo Mombert
, 11-04-2021 20:34
| Genre | Thyronectria |
|---|---|
| Espèce | aquifolii |
| Autorités | (Fr.) Jaklitsch & Voglmayr |
| Classe | Sordariomycetes |
| Sous-Classe | Hypocreomycetidae |
| Ordre | Hypocreales |
| Famille | Nectriaceae |
| Substrat | Ilex aquifolium |
| Herbier | |
| Localité | Mouthier-Haute-Pierre (Doubs) |
| Pays | France |
| Leg. | Andgelo Mombert |
| Det. | Andgelo Mombert |
| Date de récolte | 03-04-2021 |
| Remarque |



